
极目新闻记者丁汀
通讯员彭建丰琳
随着年龄增长,骨骼健康问题逐渐成为影响中老年人生活质量的“隐性危机”。近日,65岁的李女士(化姓)在武汉爱康卓悦门诊部体检时,检测出双膝关节退行性改变(膝关节骨关节炎)。经过一段时间的规范干预,她的症状得到了明显缓解,重新找回了舒适的生活状态。
李女士最近两年总感觉蹲起困难,偶尔还会感到腰背酸痛。近日,她前往武汉爱康卓悦门诊部进行体检,选择了骨力宝人工智能骨关节评估项目。该项目依托髋、膝关节的X线片数据开展AI智能评估分析,可实现骨关节疾病的早期、快速、精准筛查。检测结果显示,李女士存在双侧膝关节退行性改变。
体检报告出具后,门诊部客服医生随即联系了李女士,为她详细解释了报告结果,重点提示了膝关节退行性改变的风险,同时建议她前往专业骨科医院进行进一步诊疗。李女士听从建议,前往医院就诊。结合体检报告和临床判断,医生为她制定了包括局部理疗和口服药物在内的综合调理方案。经过一段时间的治疗和调理,李女士感觉症状有所缓解。
“李女士的经历并非个例。随着人口老龄化加剧,骨量减少、骨质疏松及相关骨关节疾病已成为影响中老年人生活质量的重要问题。”爱康卓悦门诊部内科主任医师王毅表示,人到40岁后骨量开始流失,此时骨骼将会“断崖式”衰老。如果骨密度低继续发展,就有可能会演变成骨质疏松症。在疾病早期,患者可能无任何不适表现,或只是活动后轻微的骨痛。当疾病逐渐加重时,可能出现一系列的表现,包括最常见的周身骨痛、腰腿痛及关节痛,严重情况下出现驼背、身高变矮及骨折。她表示,由于骨质疏松的发生、发展常在不知不觉中进行,往往因其没有特殊症状而易被忽视,“无论男性还是女性,应该在40岁左右做一次骨密度检查,了解一下自己的骨量处于什么位置。50岁以后则应该每年做一次骨密度筛查,可以早期识别容易骨质疏松的人群。”
“针对骨骼健康,常规体检中的骨密度检测是核心评估手段。”王毅指出,骨密度检测中,判断骨骼健康状况的关键指标是骨密度T值:T值大于等于-1.0属于正常范围;介于-2.5到-1.0之间则提示骨量减少;若T值小于等于-2.5,则可诊断为骨质疏松。无论是骨量减少还是骨质疏松,都意味着骨骼强度下降,骨折风险会显著升高。
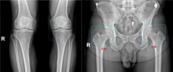
面对市场上多样的筛查技术,如何选择适合自身的体检方案呢?据悉,在骨密度检测领域,爱康集团提供的QCT骨密度人工智能检测,因其可在胸部CT扫描时同步完成骨密度测量,便捷高效且精准度更高,正成为越来越多人的新选择。同时,爱康联合合作伙伴推出的“骨力宝”人工智能膝关节、髋关节健康评估,借助人工智能与大数据分析,能够更早地揭示骨关节退行性变化的趋势,为公众提供了一体化的骨健康管理解决方案。

爱康AI定量CT骨密度检测系统

爱康骨力宝人工智能膝关节、髋关节健康评估
“体检并非项目越多越好,其关键在于精准和必要。”王毅介绍,通过爱康AI健康管家“iKKie”,可以深度分析个人的历史体检报告、家族遗传病史、日常生活习惯等多维度信息,从而量身定制出标准版、升级版、深度版三套个性化的体检方案,清晰明了地告知用户“应该查什么”以及“为什么需要查”,有效避免了盲目选择,既防止遗漏关键项目的筛查,也避免了不必要的花费。
王毅表示,中老年人骨骼的维护与管理,是一场需要持之以恒的“健康持久战”。在借助现代医学手段进行精准筛查和必要干预的同时,建立起健康的生活方式,包括均衡的营养摄入、科学的规律运动、戒烟限酒以及定期进行健康监测,才是守护骨骼健康的根本方法。她提醒,一旦出现持续腰背疼痛、关节活动受限等症状,应及时进行专业评估,积极干预。
可盈配资提示:文章来自网络,不代表本站观点。